Đối phó hiệu quả với những nguyên nhân răng bị mẻ nghiêm trọng
Răng bị mẻ là tình trạng xảy ra ở nhiều người và ảnh hưởng đến sinh hoạt hàng ngày. Có rất nhiều nguyên nhân răng bị mẻ và để điều trị nhanh chóng và chính xác các nguyên nhân này không phải là điều đơn giản.

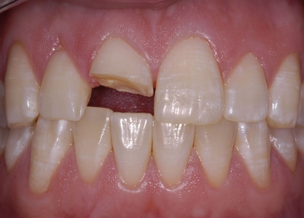
Răng bị mẻ cần được điều trị nhanh chóng và triệt để
Nguyên nhân răng bị mẻ
Răng bị mẻ sau khi chịu một số những tác động nào đó, hoặc cũng có thể tự nhiên. Nhưng có một vấn đề đã được kết luận là dù nguyên nhân răng bị mẻ là gì thì răng của bạn chưa thật sự khỏe mạnh và cần có biện pháp can thiệp nhanh chóng.
– Có nhiều nguyên nhân khiến cho răng bị mẻ có thể dẫn đến vỡ răng nhưng việc thiếu hụt nội bộ như thiếu canxi trong men răng làm cho răng dễ bị phá vỡ hoặc quá trình sâu răng cũng làm ảnh hưởng đến men răng tạo nên các vết nứt, vết mẻ. Khi đó, chỉ cần có một tác động từ bên ngoài là răng rất dễ bị sứt, mẻ. Điều này không chỉ khiến cho nền răng yếu hơn bình thường mà ngay cả hệ xương của chúng ta cũng không được khỏe mạnh.
– Ngoài ra còn là thiếu hụt Fluor trong cấu trúc răng khiến cho liên kết trong nội bộ men răng không tốt, dễ tách rã dưới các tác động bên ngoài. Thiếu vitamin và các khoáng chất cũng tham gia quan trọng vào sự chắc khỏe của hàm răng.

Các tác động mạnh từ bên trong hoặc bên ngoài cũng có thể gây mẻ răng
– Các tác nhân bên ngoài gây mẻ răng phổ biến là do tai nạn va đập, bệnh nghiến răng khi ngủ hoặc do cắn chặt và mạnh quá mức. Mẻ răng còn do nhai những thức ăn không phù hợp, tác động nóng lạnh đột ngột hoặc những thức ăn đồ uống có tính axit ăn mòn khiến cho răng từ từ bị mẻ dần.
– Các bệnh lý như răng nhạy cảm, răng sâu khiến cho liên kết mô răng bị rệu rã, phá hủy. Khi đó, chỉ cần lực tác động nhỏ cũng có thể là nguyên nhân khiến cho răng bị mẻ.

Các thói quen xấu gây tổn thương răng miệng nghiêm trọng
– Lực nhai nghiến mạnh và thay đổi đột ngột cũng có thể làm cho răng bị bào mòn và dễ mẻ vỡ, nhất là khi cấu trúc răng vốn đã yếu sẵn. Thức ăn quá cứng, giòn, dai, nhiều acid cũng dễ làm cho răng yếu đi và chóng vỡ mẻ.
– Các thói quen xấu hàng ngày như nghiến răng, cắn móng tay hay dùng răng để mở chai lọ cũng có thể là nguyên nhân bị mẻ răng .
Biện pháp phòng ngừa và khắc phục răng bị mẻ hiệu quả
Phòng ngừa
Bổ sung các dưỡng chất cần thiết cho răng miệng để hàm răng được nuôi dưỡng và khỏe mạnh từ bên trong. Tích cực điều chỉnh chế độ ăn uống bổ sung canxi, fluor cho cơ thể và cho cả răng.
Lựa chọn thức ăn mềm, rau củ quả giàu khoáng chất, dễ ăn,…Tránh các thức ăn quá cứng hoặc dai, không sử dụng răng như một công cụ mở nắp chai, mở thắt nút…

Bổ sung các loại rau, củ, quả cho hàm răng chắc khỏe
Nếu mắc phải tật nghiến răng thì nên ngậm máng bảo vệ để điều trị, tránh làm hỏng răng.
Nếu phải thường xuyên vận động, thể dục thể thao thì tốt nhất nên đeo hàm bảo vệ răng, nướu.
Thực hiện chải răng nhẹ nhàng, đúng cách và có thể sử dụng một số loại kem đánh răng có thành phần tăng cường fluor và canxi.
Khắc phục
Hiện nay, có 2 phương pháp thường được áp dụng để phục hình răng bị mẻ, đó là hàn trám răng và bọc răng sứ. Tùy vào tình trạng mẻ răng nhiều hay ít mà nha sĩ sẽ có những chỉ định phù hợp.

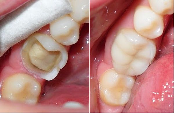
Răng bị mẻ nên được hàn trám kỹ lưỡng để tồn tại lâu dài
Hàn trám răng: Đối với trường hợp răng mẻ nhỏ, không đáng kể thì có thể áp dụng hàn trám răng. Phương pháp này nhanh, gọn, không làm tổn thương đến mô răng thật đồng thời tiết kiệm chi phí. Mặc dù vậy, độ bền của miếng trám không lâu, dễ bị bong, tróc trong quá trình ăn nhai.

Răng sứ sẽ thay thế răng bị mẻ, bảo vệ hàm răng chắc khỏe
Bọc răng sứ: Nếu mẻ răng lớn thì hàn trám răng khó có thể phục hồi lại răng nguyên vẹn về mặt thẩm mỹ và chức năng. Thay vào đó, bọc răng sứ là giải pháp tối ưu nhất về cả diện mạo và độ chắc khỏe của hàm răng.
Răng sứ có cấu tạo và chức năng như răng thật, ôm trọn thân răng và làm nhiệm vụ nâng đỡ và bảo vệ hàm răng lâu dài, tránh những ảnh hưởng không mong muốn trên răng miệng.
Tất cả các phương pháp trên được thực hiện chuyên sâu và kỹ lưỡng tại Nha khoa Quốc tế Dencos Luxury cho hàm răng bền lâu. Tuy nhiên, mọi dấu hiệu của răng bị mẻ cần được thăm khám sớm và điều trị kịp thời để bảo vệ răng khỏi môi trường tác động.
Mỗi nguyên nhân răng bị mẻ khác nhau sẽ có biện pháp xử lý riêng biệt. Do vậy bạn cần thăm khám răng đầy đủ và kỹ lưỡng tại nha khoa để có hình thức chăm sóc răng miệng. Mọi vấn đề còn thắc mắc bạn có thể gọi ngay đến số 0902 68 55 99 để được tư vấn nhanh chóng, chính xác.

TÌM HIỂU THÊM :
List nguyên nhân gây bệnh răng miệng và cách phòng tránh
Giới thiệu đôi chút Về nha khoa Quốc tế Dencos Luxury
Nguồn: http://lamtrangrang.info/
Dịch vụ nổi bật
Chuyên gia tư vấn
- Tổng hợp các cách tẩy trắng răng AN TOÀN và hiệu quả nhanh nhất
- Tẩy trắng răng có hại gì không? - Chuyên gia nha khoa Phân tích
- Tẩy trắng răng có đau không? Nguyên nhân gây đau là gì?
- Tẩy trắng răng 1 lần có trắng không? - CN làm trắng răng chỉ sau 1 lần
- Tẩy trắng răng bằng máng tẩy có thực sự an toàn? << Chuyên gia tư vấn
Tin nha khoa liên quan
- Làm trắng răng được bao lâu? – Kết quả của từng phương pháp
- Bột trắng răng Nga có thật sự đảm bảo như nhiều người vẫn nghĩ?
- TOP 3 cách làm trắng răng bằng muối khiến răng trắng sáng bất ngờ
- Tổng hợp các cách làm trắng răng bằng giấm táo hiệu quả đến bất ngờ
- TOP các cách chữa bệnh sâu răng HIỆU QUẢ NHANH NHẤT
- Bệnh răng miệng phổ biến – Phân loại, nguyên nhân & giải pháp khắc phục





























Ý kiến khách hàng:
Nếu bạn có bất kỳ thắc mắc nào. Đừng ngần ngại gửi câu hỏi, thắc mắc cho chúng tôi. Chúng tôi sẽ tư vấn giúp bạn trong thời gian sớm nhất. Hoặc liên hệ HOTLINE: 0902.68.5599 để được tư vấn nhanh nhất